أمريكي يعاني من صداع نصفي والسبب دودة في دماغه! من اين جائت!? صورة
اكتشف وجود يرقات الدودة الشريطية الطفيلية في دماغ رجل من ولاية فلوريدا يعاني من الصداع النصفي المتفاقم، بحسب تقرير نشر American Journal of Case Reports هذا الشهر.
ويعتقد الأطباء أن عدوى الدودة الشريطية سببها تناوله لحم الخنزير المقدّد غير المطبوخ جيدًا.
ذهب الرجل الذي لم يصرّح عن اسمه، والبالغ من العمر 52 عامًا، بداية لرؤية الطبيب، لأنّ الصداع النصفي الذي يعاني منه تفاقم فجأة في الشهور الأربعة الأخيرة.
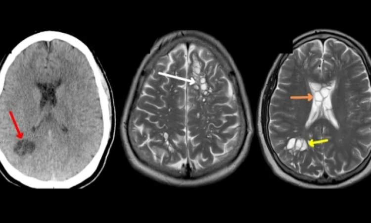
وجاء في التقرير، أنه كان يعاني من أعراض مؤلمة جدًا أسبوعيًا تقريبًا، ولم تستجب لأدوية الصداع النصفي. طلب طبيبه إجراء فحص بالأشعة المقطعية أظهر وجود أكياس متعددة مليئة بالسوائل، في جميع أنحاء دماغه. بداية اشتبه الأطباء بأن يكون مصابًا بحالة عصبية نادرة تسمى الأكياس الدبقية العصبية الخلقية، فأدخله الأطباء إلى مستشفى أورلاندو لاستشارة قسم جراحة الأعصاب.
وأظهرت المزيد من الاختبارات والتصوير في المستشفى أنٌّ الأكياس ليست إلا يرقات دودة شريطية طفيلية استقرّت في دماغه وتسبّبت بعدوى تسمى داء الكيسات المذنبة العصبي، بحسب ما جاء في التقرير.
قد يهمك أيضاً أطباء ينتزعون دودة شريطية بطول يقارب المترين من فم مريض بالهند ووفق المراكز الأمريكية لمكافحة الأمراض والسيطرة عليها (CDC)، فإنّ داء الكيسات المذنبة العصبي، وهو عدوى أنسجة طفيلية تحدث عندما يبتلع الشخص بيض الدودة الشريطية من براز شخص مصاب بالدودة الشريطية المعوية.
وتصبح بيض الدودة الشريطية بعد ذلك أكياسًا يرقية قد تصيب الدماغ، أو العضلات، أو الأنسجة الأخرى. ويعتبر داء الكيسات المذنبة العصبي بحسب الوكالة، أحد أشكال الحالة التي تصيب فيها اليرقات الدماغ.
وتشكّل سببًا رئيسيًا للنوبات التي تصيب البالغين في الدول ذات الدخل المنخفض التي تعاني من سوء الصرف الصحي، وتكثر فيها الخنازير.
في هذه الحالة، لم يكن لدى الرجل عوامل خطر نموذجية: فهو لم يسافر إلى مناطق عالية الخطورة، ولم يكن على اتصال وثيق بالخنازير، أو يعيش في منطقة تعاني من سوء الصرف الصحي.
لكنّ، بحسب ما جاء في التقرير، صرّح المريض بأنه اعتاد تناول "لحم الخنزير المقدد المطبوخ بشكل طفيف وغير المقرمش معظم حياته".
وخلص الباحثون إلى أنّ إصابة الرجل بالطفيلية يرجّح أنها تمّت من طريق "العدوى الذاتية". فربما أُصيب بالدودة الشريطية المعوية، المعروفة بداء الشريطيات، جراء تناول لحم الخنزير المقدد غير المطبوخ جيدًا والذي يحتوي على عدوى الديدان الشريطية، ثم، بعد غسل اليدين بشكل غير جيد، أكل بيض الدودة الشريطية التي أفرزها في البراز، ما أدّى إلى داء الكيسات المذنبة العصبي.
عولج الرجل بالستيرويدات والعوامل المضادة للطفيليات. وبحسب التقرير، تحسن الصداع الذي كان يعاني منه، وتقلصت الأكياس الموجودة في دماغه. ويُعد داء الكيسات المذنبة العصبي نادرًا في الولايات المتحدة وفي الإمكان الوقاية منه، وفق مراكز مكافحة الأمراض.
ففي وسع الناس تجنب الإصابة بالديدان الشريطية المعوية من خلال طهي اللحوم على درجات حرارة آمنة. ويمكن الوقاية من داء الكيسات المذنبة العصبي عبر غسل اليدين بشكل جيد بعد استخدام المرحاض، وقبل تناول الطعام





